CABINET DENTAIRE DU DR ALIX LAPARRA
Chirurgien-Dentiste à Metz - Implant & Esthétique du sourire
19, rue de Sarre, 57070 METZ
+33 3 87 13 07 49
CABINET DENTAIRE DU DR ALIX LAPARRA
Chirurgien-Dentiste à Metz - Implant & Esthétique du sourire

Blog - Page 16

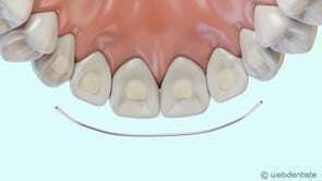
Fil de contention

Fil de contention

Conséquence de la perte des dents postérieures

Conséquence de la perte des dents postérieures

Qu'est-ce que le prf ?

Qu'est-ce que le prf ?

Le PRF (Protéine Riche en Fibrine) est un concentré de plaquettes sanguines et cellules immunitaires, accélérateur du temps de cicatrisation.

Praticiens et patients, tous éco-responsables !

Praticiens et patients, tous éco-responsables !

Un cabinet dentaire est très consommateur de ressources en énergie et en matériel. Or, le respect de l’environnement est devenu l’affaire de tous.

Bien vivre avec une prothèse amovible

Bien vivre avec une prothèse amovible

Les premiers temps avec votre prothèse amovible : adoptez les bons réflexes pour faciliter la période d'adaptation.

La technique invisalign® – align technology

La technique invisalign® – align technology

Invisalign® est un traitement orthodontique basé sur le port successif d’une série de gouttières transparentes.

Affichage des articles 91-96 sur 174

Création par Webdentiste

Connexion